DROPFINGER
Diagnosekode S 66.3
Baggrund
Betegnelsen dropfinger bruges når en finger ikke aktivt kan strækkes ud pga. en ekstensorsenelæsion.
Diagnose
Ekstensorsenelæsion svarende til yderleddet på 2. til 5. finger.

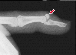
Røntgenundersøgelse mhp ossøs afsprængning.

Behandlingplan
Dropfingre uden knogle afsprængning behandles med 6 ugers konstant bandagering med Oakleysplint eller carstamskinne (bølgeskinne). Fingeren må
under de 6 ugers bandageringstid på intet tidspunkt flekteres i yderleddet. Ses
i ergoterapien efter 2 uger til skinnekontrol. Skinnen kan anvendes i op til 12
uger og derefter om natten i op til 3 måneder. Op til 30 graders
ekstensionsdefekt kan accepteres.
Udover de 6 ugers konstant behandling bør patienten i yderligere 2-6 uger anvende fingerskinnen, om natten samt en del af dagen afhængig af aktivitet, for at undgå stød mod området, idet brugen af skinnen gradvist aftrappes.
Ved utilstrækkelig effekt af ovenstående behandling kan behandlingen gentages.
Endelig fingerstilling og smerteniveau kan først observeres/bedømmes efter ca. 1 år.
Kronisk generende dropfinger kan forsøges behandlet med en dermio-tenodese eller artrodese af yderleddet.
Patienten skal gøres opmærksom på at fingeren under alle omstændigheder ikke får den naturlige stilling igen, men altid vil have tendens til at hænge lidt i yderleddet.
Ved ossøs afsprængning kan lukket reposition med røntgen kontrol og efterfølgende konservativ
beh. med ovennævnte fingerskinne forsøges, - dette gælder også ved større ossøse afrivninger.
Alternativt kan operativ behandling foretages med K-tråds fiksation a.m Ishiguro eller med pull-outwire teknik. Efterbehandling
med castamskinne i 4 uger og siden i ergo-amb. til bevægeinstruktion.



Ref: Green: Operative Hand Surgery 5th. edition
JOS juli 2014