Supracondylær humerus fraktur hos børn.
Rtg:
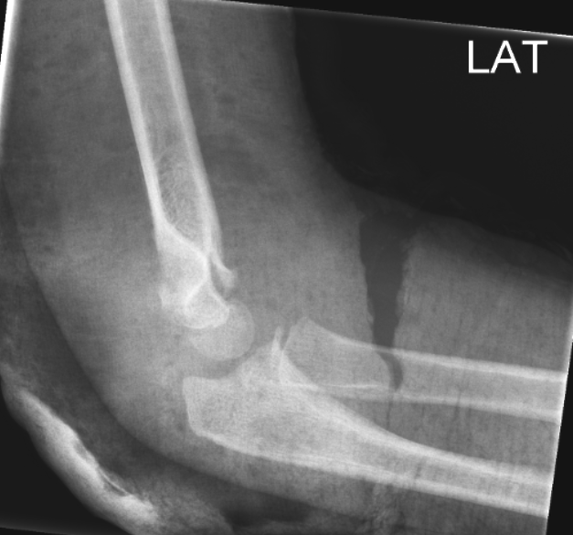
Se efter ”fad pad sign” som udtryk for ledansamling.

Manglende ansamling udelukker ikke fraktur.
Gartland type I

En linie gennem centrum af radius skal altid gå lige igennem capitulum humeri.

En linie langs forsiden af humerus går normalt igennem midterste 1/3 del af capitulum humeri, hvis capitulum ligger bagved skal der reponeres og osteosynteres i GA. Hos børn under 4 år tillades lidt større dislokation.
Ved montegia fraktur skal der altid suppleres med rtg af hele underarmen inkl håndleddet.
En krumning af ulna kan forhindre at caput radii kan reponeres, ved en caput radii luksation.
Gartland type I Udisloceret men ansamling. Gips i 3 uger
Gartland type II Bagud disloceret med bevaret bagerste cortex

Gartland type III Total dislocation
Gartland type III

Svære frakturer kan godt tåle at vente til næste dag, hvis der ikke er kar eller nervepåvirkning. Anlæg en skinne, indlæg og hold fastende til næste morgen. Kontroller puls og nerve funktion.
Osteosyntese med K-tråd brug 1,6 mm
Åben adgang medialt aht at nervus ulnaris ikke fanges af K-tråden.
Ved 2 laterale K-tråde kan de være divergerende, god stabilitet opnås med 2 krydsede K-tråde fra hver side, hvor de ikke krydser svarende til frakturen.
Buk K-trådene og lad dem være udenfor huden.
K-trådene fjernes i GA på DKC. Untagelsesvis i amb uden anæstesi med EMLA.
Gips 3 uger.
BOWING ULNA:
Normal:

Bemærk dislocation af radius. Skal reponeres i GA.
JOS maj 2014
Oversigt. Børn
|
Diagnose |
Behandling |
Kontrol |
|
Epifysiolysefraktur |
Klassificeres efter
Salter & Harris. |
|
|
Fractura colli humeri (S42.2) |
Greenstick: |
|
|
Fractura corporis humeri (S42.3) |
Fikseret mitella i
3-4 uger. |
Røntgen efter 1 og 4 uger |
|
Fractura supracondylea humeri (S42.4) |
Udisloceret: Høj
vinkelgips i 3 uger. |
Røntgen efter 1 og 3 uger |
|
Fractura intercondylea humeri (S42.4) |
Svære at bedømme.
Evt. suppl. CT/MR |
|
|
Fractura epicondyli medialis humeri (S42.4) |
Udisloceret:
Vinkelgips i 3 uger |
Røntgen efter 1 og 3 uger |
|
Fractura condyli medialis humeri (S42.4) |
Udisloceret:
Vinkelgips i 3 uger + genoptræning. |
Røntgen efter 1 og 3 uger |
|
Fractura condyli lateralis humeri (S42.4) |
Svære at bedømme.
Konf. med bagvagt. |
|
|
Subluxatio caput radii (S53.0) |
Røntgen kan
undværes ved karakteristisk anamnese med træk i underarmen. Ved trame
skal der tages røntgen. |
Ingen kontrol |
|
Luxatio cubiti (S53.1) |
Indl. til reponering i GA + vinkelgips i 1-2 uger |
Røntgen og klinisk kontrol efter 2 uger |
|
Fractura olecrani (S52.0) |
Udisloceret:
Vinkelgips i 2-3 uger. Albuen bandageres i 45 gr. fleksion. |
Røntgen efter 1 uge |
|
Fractura colli radii (S52.1) |
< 20 gr. vinkling:
Vinkelgips i 3 uger. |
Ingen kontrol |
|
Haemarthrosis traumatica cubiti (T14.3) |
Ansamling uden
synlig fraktur. |
Klinisk kontrol efter 5 dage |